Replace Your Smile Through Advanced Technology

Our exclusive Four Ever Smile™ system gives you a new digital smile in just 4 hours

Unftitled 1

What is the Four Ever Smile™ System?

Untitlffed 1

The nationally recognized and patented Four Ever Smile™ system replaces all of your missing upper and/or lower teeth with as few as 4 precisely placed dental implants per arch and a permanent digitally designed all porcelain bridge. This allows patients with broken, missing teeth, removable partials or full dentures, an affordable and minimally invasive implant procedure to regain a beautiful new smile in just 4 hours.

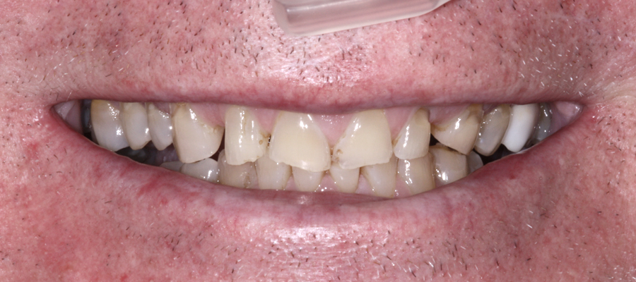
The Results Don't Lie

These before and after photos showcase the life-changing transformation possible with the Four Ever Smile™. With our advanced, fully digital process, you go to sleep and wake up just four hours later with a brand-new, permanent set of 3D-printed teeth — custom-designed to complement your facial features and look and feel just like natural teeth. Built to last a lifetime with minimal maintenance, this solution can save you tens of thousands of dollars over the years compared to traditional methods. Our innovative technology and in-house lab allow us to deliver unmatched precision and quality while significantly reducing costs, without ever sacrificing excellence. This is more than a new smile — it’s a new beginning.

all on four before, after, four ever smile, long island, teeth
four ever smile, after, permanent teeth, zirconia
Before 1
after, four ever smile, real, white, permanent teeth

Subscribe to our YouTube Channel

At Four Ever Smile™, transparency isn’t a tagline — it’s our philosophy. We proudly share the entire patient journey to help you feel confident and informed every step of the way. Visit our YouTube channel to watch real, uncut testimonials and full behind-the-scenes interviews, giving you authentic insight into the experience of patients who once stood exactly where you are today. Our goal is to help you connect with real people who felt the same hopes and concerns, and who now enjoy life-changing results.

We’ve taken the famous All-on-Four concept and elevated it — making it fully digital and designing every detail in our state-of-the-art, in-house dental lab for unmatched precision, faster turnaround, and the most affordable cost possible without compromising quality. This isn’t just a procedure — it’s a transformation that restores smiles, confidence, and quality of life. When you see the truth behind the process and the results, you’ll understand why so many choose the
Four Ever Smile™. It truly changes lives.